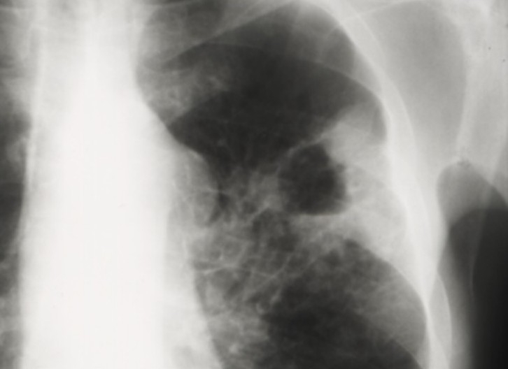
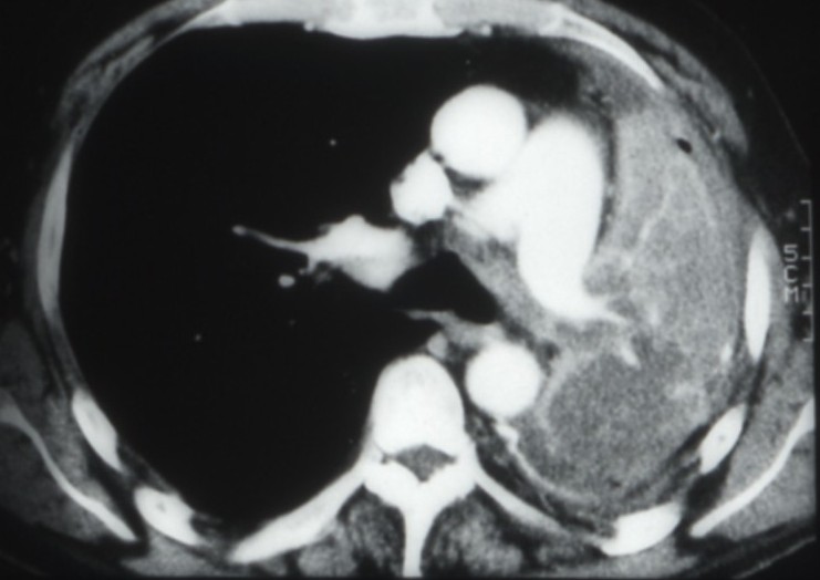
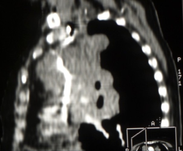
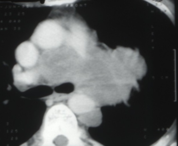
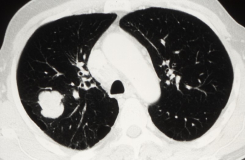
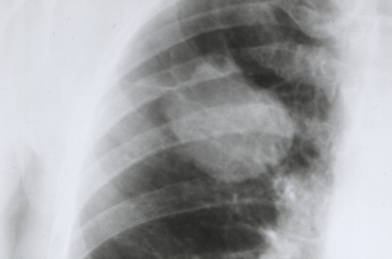
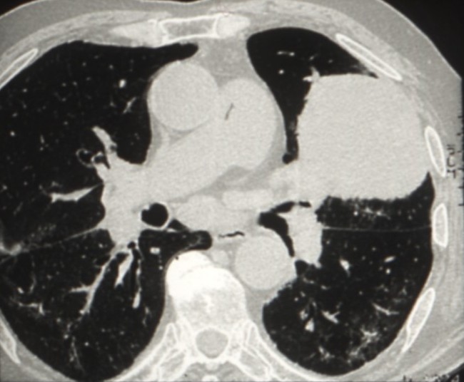
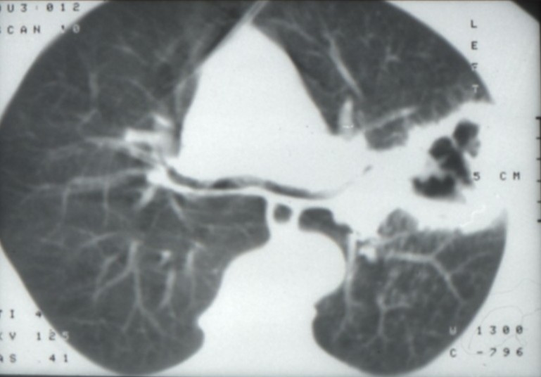
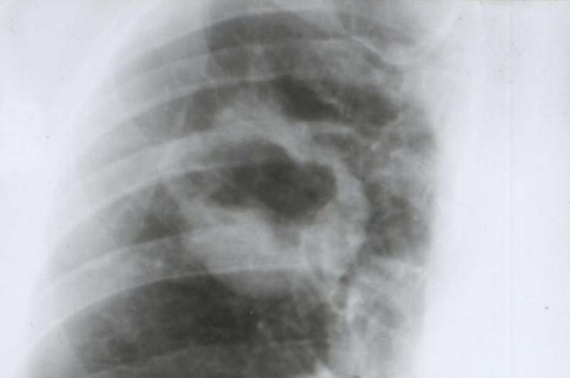
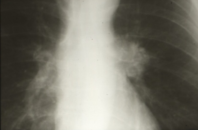
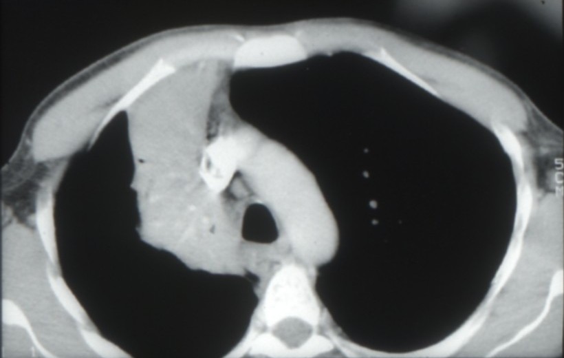
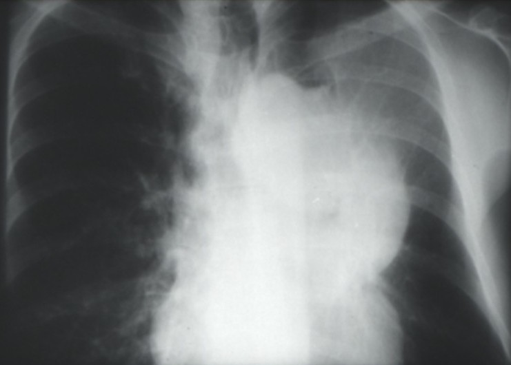
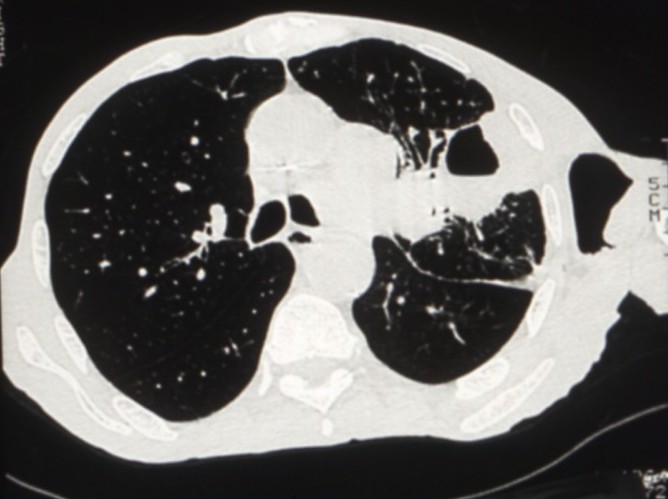
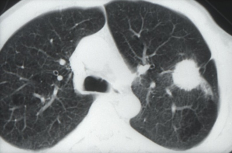
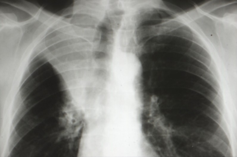
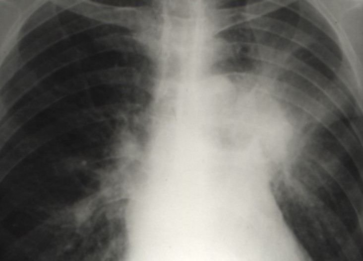
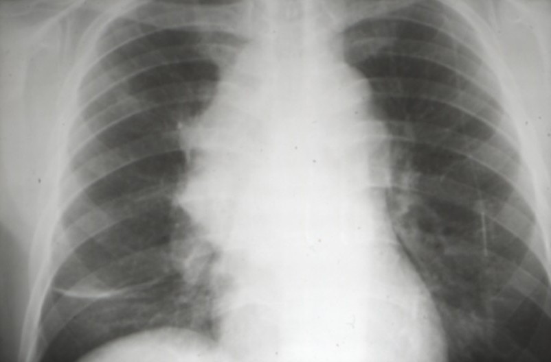
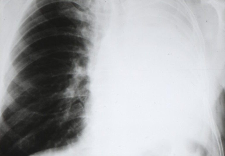
Cancers bronchiques